سونوگرافی NT

سونوگرافی NT برای ارزیابی خطر ابتلا کودک به سندرم داون (DS) و برخی دیگر از اختلالات کروموزومی، و همچنین مشکلات مادرزادی، مورد استفاده قرار می گیرد.
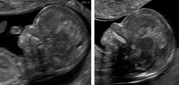
سونوگرافی NT، مایع موجود در پشت گردن کودک را اندازه گیری می کند. نوزادان مبتلا به ناهنجاری ها در طول سه ماهه اول، مایع بیشتری را در پشت گردن خود دارند.لازم به ذکر است که سونوگرافی NTکاملا غیر تهاجمی است. سونوگرافی NT باید در هفته 11 تا 14 بارداری انجام شود. در این زمان از بارداری معمولا سونوگرافی NT همراه با یک آزمایش خون در گزینه های ترکیبی سه ماهه اول انجام می شود. در طی انجام سونوگرافی NT تنها می توان خطر ابتلا کودک به انواع بیماری های خاص مورد ارزیابی قرار بگیرد. در صورت مشاهده شدن مورد مشکوکی در نتایج سونوگرافی انجام آمنیوسنتز و یا CVS توصیه می شود. سونوگرافی NT باید برای تمام زنان باردار در سه ماهه اول بارداری انجام می شود.
آیا انجام سونوگرافی NT اجباری است ؟
تمامی زنان باردار سونوگرافی NT را برای ارزیابی اینکه آیا نوزاد آن ها مبتلا به سندرم داون می باشد یا خیر باید انجام شود، در نتیجه با انجام این سونوگرافی والدین با استرس کمتری این دوران را پشت سر می گذارند.
مادرانی که در سنین بالا باردار می شوند بیشتر احنتمال ابتلا به سندرم داون در آن ها دیده می شود.
تست های تشخیصی، از قبیل نمونه برداری ویروس کوریونی (CVS) و آمنیوسنتز، می توانند برای اطمینان یافتن از اینکه آیا کودک شما سندرم داون دارد یا خیر، کمک کننده باشد
با این حال، آزمایش های تشخیصی، خطر کمتری را برای سقط جنین ایجاد می کنند. به همین دلیل، بیشتر متخصصین زنان و زایمان انجام تست غربالگری را قبل از تست تشخیصی توصیه می کنند.
تست غربالگری نتیجه سونوگرافی NT را با تست خون و سایر عوامل مانند سن بیمار ترکیب می کند.
گاهی اوقات نمی توان از طریق سونوگرافی شکم دید خوبی به دست آورد، در این صورت سونوگرافی واژینال به بیمار پیشنهاد می شود تا بتوان به طور دقیق تر شرایط جنین را بررسی کرد.
آمادگی های لازم قبل از سونوگرافی NT
شاید این سوال خیلی از مادران باردار باشد که قبل از سونوگرافی NT چه اقداماتی را انجام دهند؟
لازم است تا قبل از انجام سونوگرافی نکاتی را در نظر داشته باشید، در مرکز سونوگرافی مهرایرانیان، سونوگرافی خوب در غرب تهران، برای انجام سونوگرافی NT به افراد توصیه می کنند که با نوشیدن آب و مایعات مثانه خود را پر کنند، تا سونوگرافی با وضوح بالاتری انجام شود.
لازم به ذکر است که به هیچ وجه برای پر کردن مثانه خود، نوشابه ها و مایعات گازدار را انتخاب نکنید، دلیل آن بر این است که گاز این مایعات، مانع دید احشا شکمی می شود.
گاهی ممکن است لازم باشد تا برای انجام سونوگرافی خاصی، فرد ناشتا باشد، در این موارد بهتر است تا تقریبا 8 ساعت قبل از سونوگرافی غذایی میل نکنید، و بعد از انجام سونوگرافی مورد نظر غذایی سبک میل کنید.
سونوگرافی NT از طریق شکمی انجام می شود، در صورتی که مقدار مو در این ناحیه غیر متعارف باشد بهتر است قبل از سونوگرافی ناحیه شکم خود را اصلاح کنید. تمام این موارد می تواند به بهبود کیفیت تصاویر سونوگرافی کمک کند.
مادران در طول دوران بارداری لازم است تا در دوره های مشخصی، سونوگرافی های خاصی انجام دهند، با کمک این سونوگرافی پزشک سلامت جنین را تایید می کند.
هزینه سونوگرافی NT
سونوگرافی NT در طول دوران بارداری برای بررسی وضعیت سلامت جنین انجام می شود در نتیجه می توان گفت، از الزامات است و لازم است تا برای انجام آن ملاک هزینه وجود نداشته باشد.
خوشبختانه بیمه شامل سونوگرافی NT می شود، اما بنا بر تجهیزات و دستگاه های کاربردی و البته مکان سونوگرافی، نمی توان برای آن هزینه دقیق و مشخصی را بیان کرد.
جواب سونوگرافی NT

در حالت کلی در طی سونوگرافی NT، اگر عدد NT افزایش یابد به این معنی است که احتمال وجود اختلالات کروموزومی در جنین بالا می باشد.
اگر عدد NT از 3,5 میلی متر کمتر باشد، جنین سالم است و حالتی طبیعی دارد. در صورتی که این عدد بالاتر از 3,5 باشد، به احتمال قوی جنین مبتلا به بیماری های مادر زادی و سندرم داون می باشد. در این صورت برای بررسی های بیشتر، سونوگرافی و آزمایشات دیگر برای مادر تجویز می گردد.
لازم به ذکر است در صورتی که هیچ گونه اختلالی در جواب آزمایشات وجود نداشته باشد، اما عدد NT از 3 بیشتر باشد، انجام تست آمنیوسنتز الزامی می باشد، از جمله این موارد شامل:
- در صورتی که عدد NT از 3 بالاتر باشد و مادر سنی بالاتر از 35 سال داشته باشد.
- در صورتی که عدد NT از 4 بیشتر باشد و مادر در سنی پایین تر از 35 سال باردار شده باشد.
کاربرد سونوگرافی NT در تعیین جنسیت
اگر تصمیم دارید جهت پی بردن به جنسیت جنین آزمایش اولتراسوند انجام دهید، بدانید که زمان مناسب جهت انجام آن تقریباً در اواسط بارداری می باشد. نام علمی این آزمایش بررسی آناتومی جنین می باشد و علاوه بر تعیین جنسیت، بسیاری از نا هنجاری های موجود در جنین نیز تشخیص داده می شود.
احتمال خطا در سونوگرافی تشخیص جنسیت به عوامل مختلفی از جمله هفته بارداری، تجهیزات مورد استفاده، فرد آزمایش گیرنده، و حالت جنین بستگی دارد. با این حال نشانه های مشخصی در آزمایش سونوگرافی دختر و پسر وجود داشته که آزمایش گیرنده با استفاده از آنها جنسیت را تشخیص می دهد.
عدم حضور آلت برجسته = جنسیت دختر
شاید فکر کنید در صورتی که آلت برجسته و مشخصی بین پاهای جنین در عکس سونوگرافی مشاهده نشود، جنین دختر است. در ادامه می خوانید که در اوایل دوران بارداری سایز کلیتوریس در دختران با سایز آلت تناسلی در پسران برابر است.
نشانه همبرگر=جنسیت دختر
زمان انجام آزمایش سونوگرافی جهت تشخیص جنسیت جنین، فرد آزمایش گیرنده به دنبال ناحیه ژنیتال، لابیا و کلیتوریس دختر می باشد.
نشانه لاک پشت= جنسیت پسر
زمانی که در آزمایش اولتراسوند به دنبال جنسیت پسر هستند به دنبال نشانه به اصطلاح لاک پشت می باشند. حالتی که که سر آلت تناسلی از بیضه ها بیرون می زند شبیه به لاک پشت می باشد. در برخی از موارد مشاهده این مورد در پسران مشکل می باشد به این دلیل است که به دنبال نشانه های چندگانه ای برای تعیین جنسیت می گردند. موقعیت جنین و سن دقیق بارداری نقش مهمی در تشخیص جنسیت بازی می کنند.
نعوظ در جنین پسر
حتی جنین پسر نیز حالات نعوظ را تجربه می کند و با مشاهده دقیق می توان شکل آلت تناسلی (penis) را مشاهده کرد. این حالت واضحاً تعیین جنسیت پسر را آسان می کند. پس از تولد نوزاد هم گاهی هنگام تعویض پوشک نعوظ اتفاق می افتد. نعوظ در نوزادان امری کاملاً طبیعی می باشد و جای نگرانی نیست.
قابلیت دستگاه های اولتراسوند سه بعدی در تشخیص جنسیت به دلیل مشاهده واضح تر اندام های جنین، دقیق تر از دستگاه های قدیمی می باشد.
تفاوتی نمی کند که از چه دستگاه اولتراسوندی استفاده می شود، همیشه یک درصد خطایی در تشخیص خصوصاً در ماه های اول بارداری وجود دارد.
مناسب ترین زمان برای انجام این سونوگرافی چه زمانی است ؟
برای مادرانی که در حالت طبیعی هستند و هیچ خطری بارداری آن ها را تهدید نمی کند، لازم است تا اولین سونوگرافی در هفته هشتم بارداری انجام شود. سونوگرافی در طول بارداری می تواند برای بررسی سلامت جنین مورد استفاده قرار بگیرد.
آیا می توان سونوگرافی NT را در هر مرکزی انجام داد ؟
لازم است تا سونوگرافی همراه با دستگاه های دقیقی که کیفیت کافی دارند ،صورت گیرند. در مرکز سونوگرافی مهر ایرانیان، سونوگرافی NT توسط کادر مجرب و حرفه ای و همراه با دستگاه های دقیق انجام شود که از دقت بالایی بر خوردار هستند. انجام ازمایش و سونوگرافی در هر آزمایشگاه و با هر دستگاهی فاقد اعتبار است.
در طول دوران بارداری چه تعداد سونوگرافی لازم است انجام شود تا سلامت جنین تایید شود ؟
تعداد دفعات سونوگرافی در طول بارداری بستگی به شرایط مادر و جنین دارد و در هر فرد متغیر است. در مواردی که خطری مادر و جنین را تهدید کند، در هر ماه برای بررسی وضعیت سونوگرافی تجویز می گردد،
اما در مواردی که مادر و جنین حالت طبیعی و نرمالی داشته باشند تنها در هفته هشتم بارداری، هفته یازدهم تا چهاردهم بارداری و در هفته پانزدهم تا بیست و دوم باردری و در آخر در ماه اخر بارداری سونوگرافی انجام می شود. در حالت کلی می توان گفت در شرایط طبیعی سونوگرافی در طول دوران بارداری تنها چهار مرتبه لازم است.
کاربرد سونوگرافی NT در چه مواردی است؟
بر خی افراد تصور دارند که سونوگرافی تنها در بررسی جنسیت جنین کاربرد دارد، اما سونوگرافی در بررسی اختلالات مادرزادی و جنین نیز کاربرد دارد. برای بررسی سلامت جنین غربالگری در دوران بارداری صورت می گیرد.