کیست پستان و روش تشخیص آن
کیست پستان چیست؟
آیا کیست پستان خطرناک است؟
در چه مواردی کیست پستان خطرناک است؟
کیست پستان جز مسائل بسیار شایع در بین خانم ها است. گفته می شود حدود 50 درصد از خانم ها در طول عمر خود کیست سینه را تجربه می کنند بنابراین مسئله بسیار عادی است و خوشبختانه کیست سینه ربطی به سرطان سینه ندارد. اکثر خانم ها اگراین سونوگرافی را انجام دهند وجود یک یا چند کیست در سینه آنها گزارش می شود. پس از آنکه در سونوگرافی سینه گزارش کیست پستان داشته باشید اصلا نترسید. البته باید به پزشک مراجعه کنید به این دلیل که تمام یافته های رادیولوژی باید با معاینه مطابقت داشته باشد.
کیست های سینه ای که در خانم ها به صورت کوچک و بزرگ مشاهده می شوند معمولا سرطانی نیستند مگر آنکه در کنار آنها علامت دیگری وجود داشته باشد.
علائمی که در کنار کیست سینه مهم است عبارتند از:
- وجود توده در کنار کیست
- زمانی که کیست بزرگ باشد و بعد از تخلیه، مایع داخل آن خونی باشد.
- ترشح خونی از نوک سینه
- بزرگ شدن غدد لنفاوی زیر بغل
مواردی که ذکر شد علائمی هستند که ما را مشکوک به سرطان سینه می کنند. یعنی در 99 درصد موارد کیست های سینه خوش خیم هستند و از سرطان های پستان فقط یک درصد از آنها به صورت کیست ظاهر می شود.
آیا کیست پستان نیاز به دارو و درمان دارد ؟
کیست پستان گاهی همراه با درد است که در این صورت نیاز به تجویز دارو برای کنترل درد دارد. معمولا کیست ها درمانی ندارند مگر آنکه پزشک، متوجه شود که کیست ها افزایش سایز پیدا کرده اند و یا با ضایعه دیگری همراه هستند.
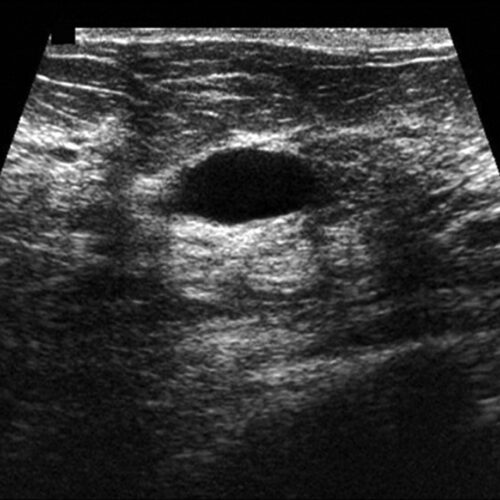
تشخیص کیست پستان

در اکثر موارد کیست پستان با علائمی مانند توده های پستان، تورم و یا حساسیت به درد مشاهده می شوند. این علائم قبل از دوران پریودی، تشدید پیدا می کنند و امکان دارد در طول دوران قاعدگی تغییر کنند و گاهی اوقات ممکن است از نوک سینه مایعی روشن یا کمی کدر ترشح شود.
در بعضی مواقع ممکن است توده علائم شدید تری داشته باشد که باعث نگرانی در مورد سرطان سینه شود. در این زمان انجام یک سونوگرافی برای اطمینان از اینکه آیا توده جامد است یا فقط از مایع پر شده، الزامی است. اگر در گزارش سونوگرافی محتوای کیست جامد و یا جامد و مایع ( پیچیده ) باشد. برای اطمینان بیشتر از اینکه کیست سرطانی نباشد، انجام بیوپسی پستان مورد نیاز است.
نتیجه گیری
گاهی به طور اتفاقی در سونوگرافی های پیاپی مشاهده می کنید که تعداد کیست ها کم یا زیاد می شوند اما نسبت دادن این موارد به دارویی که استفاده می کنید منطقی نیست. در نتیجه کیست ها زمینه ساز سرطان سینه نیستند و جایی برای نگرانی ندارند.

